Как подружить ребенка и стоматолога. Дельные советы родителям.
«Давай, давай лечиться» – такой правильный настрой должен сохраниться у ребенка на всю жизнь, если правильно подготовить его перед визитом к стоматологу. Как же это сделать?
Получайте свежие новости в мессенджерах и соцсетях
«Давай, давай лечиться» – такой правильный настрой должен сохраниться у ребенка на всю жизнь, если правильно подготовить его перед визитом к стоматологу. Как же это сделать?
Говорят, что это безвредно и не больно, так ли это на самом деле?
Гигиеническая чистка зубов и отбеливание – это две разные процедуры, которые мы часто путаем. Чем же они отличаются и как преображают улыбку?
Даже при самой тщательной и старательной чистке зубов, со временем все равно накапливается зубной налет, который со временем уплотняется и приводит к образованию зубного камня
Дентальные имплантаты на сегодня - это самый адекватный и лучший метод замещения утраченных зубов
28 сентября центр стоматологии «Art Smile» проведет «День открытых дверей» для жителей города и республики. Рассказываем, почему это событие нельзя пропустить
Неприятный запах изо рта - галитоз (в переводе с лат. болезнь дыхания) портит жизнь доброй трети человечества
Разбираемся, что делать, если постоянный зуб утрачен до 18 лет, и как вернуть чаду здоровую улыбку.
Согласно разным опросам, от 61 до 92% россиян боятся посещения стоматолога. Страх связан, прежде всего с ожидаемой болью. Из-за этого большинство людей перестают следить за состоянием зубов, страдают от их постепенного разрушения и ничего не могут поделать со своими эмоциями.
Их главная цель – сделать красивую и здоровую улыбку, заплатить за это в несколько раз дешевле, чем в родном городе, а заодно отдохнуть на Байкале.
Работу стоматолога можно сравнить с ювелирной, – она требует такой же, если не более высокой точности
Часто пациенты испытывают головные боли, но никак не связывают их с проблемами прикуса и зубами. Но связь есть и достаточно четко выраженная
На сегодняшний день мы все чаще замечаем людей с брекетами и задаемся вопросом: “У него же были нормальные прямые зубы, зачем ему брекеты? Это так модно сейчас?”
Ни для кого не секрет, что для лечения кариеса, нужно ставить пломбу, но знаете ли вы, что есть другие способы лечения, которые могут оказаться выгоднее пломбы?
Бывает, приходишь к врачу со “здоровыми” зубами, а выходишь из кабинета с пломбой. “Ведь не болело, и дырки не было!” - сетуете вы. Но тут не все так просто - не спешите с выводами
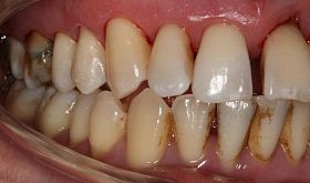
По данным ВОЗ около девяноста процентов взрослого населения Земли имеют признаки пародонтита — воспаления тканей, окружающих зуб. Именно пародонтит - самая частая причина потери зубов (в том числе и абсолютно здоровых)
У многих людей, желающих поставить себе брекеты, возникает вопрос: Сколько в итоге нужно заплатить?
Время перед Новым годом особенное - мы стараемся закончить дела, отдать долги, избавиться от старых вещей, освободив пространство для нового.
Людей без зубов много. Мы решили разобраться, сколько надо заплатить за красивую улыбку
Все знают, что секретом идеальной голливудской улыбки являются виниры. Но что они из себя представляют, как устанавливаются и сколько стоят?
В далеком 1728 году стоматолог Пьер Фошар — будущее современной ортодонтии — придумал новаторский по тем временам способ лечения зубов
Более 60% россиян носят зубные протезы, а 14% населения к 30 годам теряет более половины зубов
После 35 лет человек начинает стареть, это касается даже здоровых зубов. Что с ними происходит и как избежать возрастных изменений зубов?
Центр детской стоматологии Art Smile поздравляет жителей Улан-Удэ с наступающим Днем знаний и дарит подарок — бесплатную проверку зубов перед школой!
Ни для кого не секрет, что лечение зубов – это довольно затратная процедура
По данным Всемирной организации здравоохранения более 90% взрослых людей имеют признаки пародонтита — воспаления тканей, окружающих зуб
Часто мы стесняемся улыбаться из-за такого явления как десневая улыбка. Чаще всего это чисто эстетическая проблема, которая никак не влияет на здоровье зубов и не зависит от него. Однако этот внешний дефект все равно сказывается на эстетике. Как исправить ситуацию рассказывает Васильев Бато Васильевич, стоматолог-хирург Центра стоматологии «Art Smile», кандидат медицинских наук.
Будьте спокойны, мы никому не покажем ваши данные.