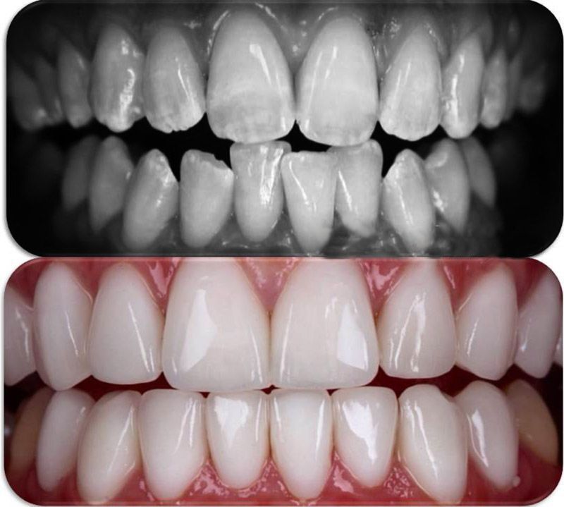
Виниры - это тонкие, около одного миллиметра толщиной, пластинки, которые крепятся на переднюю часть зубов, попадающих в зону улыбки. Они придают зубам желаемую форму и цвет. Чаще всего виниры устанавливаются на шесть нижних и шесть верхних зубов.
Популярность виниров объясняется тем, что они дают возможность получить идеальные ровные белоснежные зубы, при этом в довольно короткие сроки (7-20 дней). Во-вторых, пациент не испытывает дискомфорт и неудобства при их ношении.
Кому нужны виниры?
Для установки виниров, как правило, необходима предварительная обточка зубов. Поэтому любой уважающий себя врач сначала выяснит, действительно ли вам нужны виниры. Ведь намного лучше сохранить свои зубы целыми и нетронутыми. Но если проблемы с зубами затрудняют общение, вызывают сильные комплексы и это действительно портит вам жизнь, то виниры - ключ к решению проблемы.
Способы установки виниров
Как будет происходить установка виниров зависит от выбранного материала для изготовления виниров. Некоторые будут устанавливаться непосредственно в полости рта - терапевтические виниры, а другие - ортопедические, будут изготавливаться в зуботехнической лаборатории, при помощи новейших технологий.
Какие виниры выбрать?
Существует два основных материала, которые применяют для изготовления виниров:
- композитные материалы
- керамика
Каждый из типов имеет свои достоинства и недостатки, и именно этот фактор часто определяет стоимость процедуры.
Виниры из композитного материала. По сути это реставрация из пломбировочного материала.
Долгосрочные эстетические качества композитных виниров нельзя назвать высокими. Врачи предупреждают, что при употреблении окрашивающей еды и напитков, например, моркови, кофе и прочих, курении, вредных привычках, высока вероятность быстрого изменения цвета. Необходимо проводить периодические полирования таких реставраций. Композитные виниры при соблюдении правил ухода прослужат около 5 лет. А первоначальные эстетические свойства сохранят от 1 до 3 лет.
Для установки виниров из композитов, зубы предварительно обтачиваются, затем на зубной поверхности слой за слоем формируется винир, поверхность винира шлифуется и полируется.
Керамические виниры. Тонкие керамические пластинки толщиной не более 0,5 -1 мм. Обладают высоким уровнем эстетичности, не поддаются окрашиванию, не стачиваются.
Керамические виниры выгодно отличаются от композитных тем, что материал, из которого они изготовлены, не поддается пигментации и прекрасно сохраняет как цвет, так и форму, а также полностью пропускает свет и передает естественный блеск живых зубов.
К тому же керамические виниры изготавливаются исключительно в зуботехнической лаборатории и идеально прилегают к поверхности зуба, минимизируя тем самым риск развития вторичного кариеса между ним и зубом. Керамические виниры однозначно прослужат вам более 5 лет. При этом весь срок службы будут сохранять первоначальные эстетические свойства.
Сколько стоят виниры?
Стоимость композитных виниров ниже, чем из керамики, это обосновано качеством материала и технологией изготовления, керамика намного прочнее, долговечнее, чем композиты и выглядит максимально похоже на настоящий зуб.
В Центре стоматологии Art Smile до конца ноября действует акция:
- Виниры из керамики
21000 руб., 17850 руб. - Коронка из металлокерамики
7000 руб., 5950 руб. - Коронка из оксида циркония
16500 руб., 14025 руб. - Коронка из безметалловой керамики E-max
21000 руб., 17850 руб. - Коронка из металлокерамики на имплантате
26000 руб., 22100 руб. - Коронка из оксида циркония на имплантате
35000 руб., 29750 руб.











