Архив за 2 июля 2024 года
Выбрать датуУлан-удэнцы с неохотой разбирают бродячих собак на городских ярмарках
Новых хозяев обрели лишь 12 животных из более чем 1000
Новые дома для врачей и учителей построят в Бурятии
В Минстрое показали, как они будут выглядеть
На «Ночи ёхора» в Улан-Удэ разыграют 400 тысяч рублей
За главный приз фестиваля будут бороться девять коллективов из районов Бурятии
В Бурятии сельчанка перевела мошеннику около 400 тысяч рублей
Она поверила аферисту, который представился сотрудником Главного Центрального банка
В Бурятии прошёл XVII Байкальский веломарафон
В масштабном заезде приняли участие спортсмены от 11 до 73 лет
Житель Бурятии промышлял воровством на пляже озера Щучье
Его помог задержать чиновник из райадминистрации
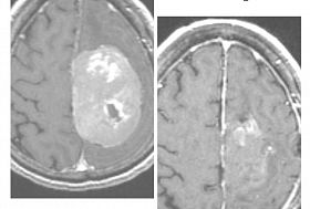
Хирурги из Бурятии спасли пенсионерку с опухолью мозга
Женщина шесть лет отказывалась от операции
В труднодоступном селе Еравнинского района завершилось строительство детского сада
Здание на 50 мест в селе Телемба уже готов ко встрече с будущими воспитанниками
Из-за дикой жары в Улан-Удэ начали поливать дороги
В КБУ уверены, что это поможет охладить раскаленный асфальт
Улан-удэнец подхватил опасных паразитов от своей собаки
Заболевание может привести к поражению глаз и нервной системы
Власти Бурятии планируют субсидировать частных перевозчиков в Улан-Удэ
За каждый отработанный день на маршруте они смогут получать по тысяче рублей
В Бурятии в детском лагере побили ребенка
Прокуратура организовала проверку по данному инциденту
В Бурятии простились с 38-летним контрактником, погибшим на СВО
Баир Бальдруев награжден медалью «За отвагу»
Полиция разыскивает 22-летнего жителя Бурятии
Он вышел из придорожного кафе и таинственным образом исчез
В Бурятии 18-летний парень на «Тойоте» сбил юного велосипедиста
Ребенка с травмами доставили в больницу
Глава Бурятии взял на личный контроль ход расследования убийства в Бабушкине
Он сообщил, что многодетному отцу неоднократно угрожали, однако правоохранители бездействовали









