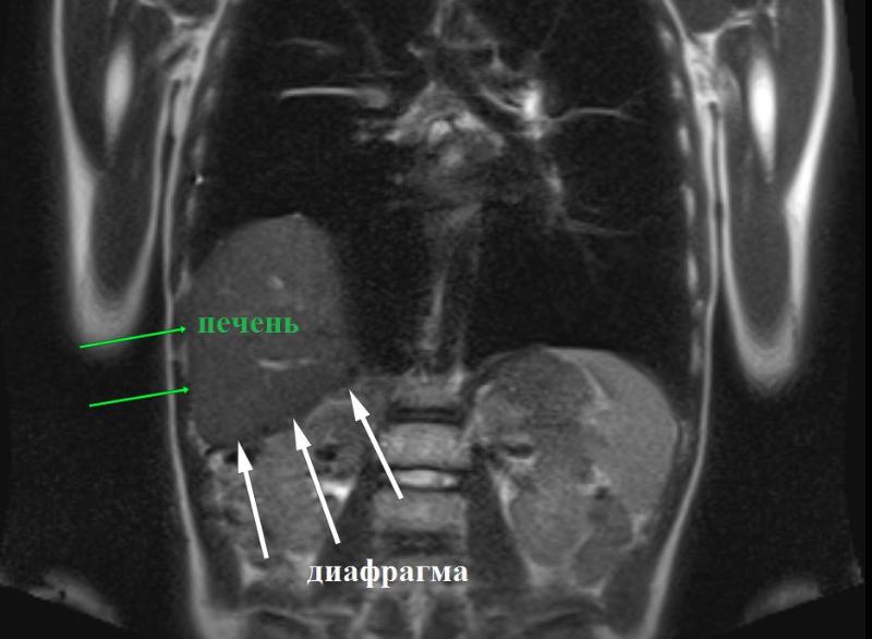
Диафрагмальные грыжи, как правило, диагностируются в младенческом возрасте. Однако в данном случае патология оставалась незамеченной целых 13 лет. Грыжу обнаружили случайно, когда у мальчика развилась пневмония и рентгеновское обследование выявило аномалию. После купирования воспалительного процесса приняли решение о проведении операции.

Диафрагмальная грыжа встречается примерно у 3 из 10 тысяч новорожденных. Грыжи могут быть как врожденными, так и приобретенными вследствие перенесенных инфекций. В данном случае врачи определили врожденный характер патологии. Показанием к операции стало неестественное состояние купола диафрагмы. Хирурги ДРКБ выполнили торакоскопическую пластику диафрагмы, минимизировав травматичность вмешательства, поскольку операция была проведена без разрезов.
- Своевременное хирургическое вмешательство позволило избежать серьезных осложнений. В противном случае состояние ребенка могло ухудшиться, участились бы респираторные инфекции и пневмонии, - сообщает пресс-служба ДРКБ.
Сейчас пациент чувствует себя хорошо и выписан на амбулаторное лечение.










